According to GLOBACON 2018 report, in India 132 patients were diagnosed to have cancer daily.
One should understand that
1 out of 3 cancers is preventable
1 out of 3 cancers is treatable if detected early.
It is very important to have adequate knowledge about early signs and symptoms of cancer.
Top 10 cancers in India:
- Breast
- Oral
- Cervix
- Lung
- Stomach
- Colorectal
- Esophagus
- Leukemia
- Ovary
- Larynx
Breast cancer:
Risk factors:
- Family history of breast cancer( Parent, sibling and child)
- Females with history of breast disease
- Never giving birth to child or those who gave first birth after the age 35 years
- Females who had first menstruation before 11 years of age
- Late menopause( stopping periods) after 55 years of age
- Obesity or increased weight gain following menopause
- Prolonged exposure to hormone containing pills.
- Radiation exposure to breast or chest at younger age
Signs and symptoms:
- New lump in the breast or underarm
- Thickening or swelling of part of the breast
- Irritation or dimpling of breast skin
- Redness or flaky skin in the nipple area or the breast
- Pulling in the nipple or pain the nipple area
- Nipple discharge other than breast milk
- Any change in size or shape of the breast
- Pain in the breast
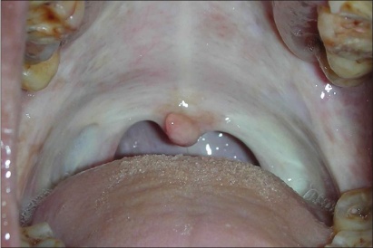
Oral cancer:
High risk people:
- Tobacco and betalnut/ arecanut consumption. 
- All forms of tobacco including cigarettes, beedi, pipes, cigars and chewing tobacco. 
- Alcohol consumption. 
- Sharp teeth or ill fitting dentures.
- Human papilloma virus (HPV) infection.
- Weak immune system (due to disease or drugs).
- Exposure to excessive sun UV rays.
- Lack of fruits and vegetables in diet.
Precursor lesion of oral cancer:
Each and every person should encourage doing oral self examination.
Oral precursor lesions are the conditions which are present before formation of oral cancer.
- Leukoplakia- Persistent white patches or plaques 
- Erythroplakia- Persistent red patches / plaques 
- Oral submucous fibrosis- Blanched oral mucosa with band formation, difficulty in opening mouth and burning sensation of mouth. 
- Oral lichen planus – Marble appearance of oral mucosa. 
If one person finds out any of above features they should consult doctor immediately.
Cervix cancer:
Risk factors:
- Human papilloma virus infection (HPV)
- Engaging in sexual intercourse at an early stage
- A women or her partner having multiple sexual partners
- Smoker or passive smoking
- Immunosuppression ( Due to disease or drugs)
- Previous history of recurrent sexually transmitted disease
- Giving birth to many children
Signs and symptoms:
Preinvasive cancer usually doesnot show any symptom. Symptoms starts only after it becomes invasive cancer. Symptoms of invasive cervix cancer are
- Heavier and longer menstrual cycle 
- Bleeding per vagina following sexual intercourse
- Blood stained or foul smelling vaginal discharge 
- Abnormal vaginal bleeding
- Postmenopausal bleeding per vagina
- Unusual or excessive vaginal discharge
Lung cancer:
 
Symptoms:

- Persistent cough that get worse in spite usual treatment
- Cough with blood in sputum
- Change of color or volume of sputum
- Difficulty in breathing
- Unexplained fever
- Lump in neck or axilla
- Loss of appetite and loss of weight
- Extreme feeling of tiredness
- Pain in back or chest
Stomach cancer:
 
Symptoms:

- Difficulty in swallowing
- Feeling bloated or full after eating small amount of food
- Pain in upper abdomen
- Loss of appetite and loss of weight
- Passing black colour stools
- Unexplained persistent nausea
- Persistent vomiting with or without blood
- Anemia
- Abdominal distention
Colorectal cancer:
 
Symptoms:

- Blood in stools
- Change in consistency of stools (long, thin pencil stools)
- Alternating constipation and loose stools
- Bleeding per rectum
- Feeling of not being able to empty the bowel completely
- Abdominal pain
- Unexplained fatigue
- Loss of appetite and loss of weight loss
Esophagus cancer:
 
Symptoms:

- Difficulty in swallowing food more than three weeks
- Pain during swallowing for more than three weeks
- Tightness or pain in chest
- Vomiting
- Unexplained weight loss
Leukemia:
 
Symptoms:

- Looking very pale
- Feeling very tiered
- Unexplained and recurrent fever for long time
- Nodal swelling anywhere in the body
- Bleeding
- Recurrent infections
- Unexplained loss of weight
- Easy bruising over skin
Ovarian cancer:
Usually ovarian cancer will not show any symptoms till it becomes advanced stage.
Symptoms:

- Indigestion
- Abdominal discomfort
- Abdominal pain
- Fullness of stomach after taking small amount of food
- Abdominal distention
- Change in bowel and bladder habits.
Larynx cancer:
Symptoms:
- Change in voice or hoarseness of voice for more than three weeks.
- Persistent Cough for more than three weeks
- Continuous throat pain
- Difficulty in swallowing
- Lump in neck
- Difficulty in breathing
Uterus cancer:
 
Symptoms:

- Bleeding per vagina
- Postmenopausal bleeding per vagina
- Abdominal distention
- Lower abdominal pain
- Change in bowel and bladder habits
Thyroid cancer:
 
Symptoms:
 
 
- Thyroid swelling
- Lump in throat
- Hoarseness of voice
- Pain in throat
- Difficulty in swallowing
- Difficulty in breathing
Kidney cancer:
 
Symptoms:

- Blood in urine
- Low back pain
- Abdominal pain
- Increased blood pressure
- Fatigue
- Night sweats
- Unexplained weight loss
- Unexplained persistent fever
- Bone pain
Bladder cancer:
 
Symptoms:

- Passing blood in urine
- Pain while passing urine
- Increased frequency of urination
- Feeling of not emptying bladder completely
- Back pain
Prostate cancer:

- Difficulty in passing urine
- Passing thin stream of urine
- Incomplete emptying of bladder
- Increased urination
- Increased frequency of urine in night time
- Passing blood in urine
Lymphoma:

- Lymph node enlargement in body
- Unexplained prolonged fever
- Itching, patches over skin
- Recurrent infection
- Night sweats
- Fatigue
- Unexplained loss of weight
Brain cancer:

- Persistent head ache
- Seizures
- Intractable vomiting
- Weakness of limbs
- Blurred vision
Skin cancer:


- Sudden change or growth of scars or moles
- Persistent ulcer in skin
 
										