

Brachytherapy or internal radiation is a procedure that involves placing radioactive material inside your body on a temporary or permanent basis to damage cancer cells in DNA and destroy their ability to divide and grow.
It allows doctors to deliver higher dose of radiation to more specific areas of the body compared to conventional radiation that projects from a machine outside of your body.
Types of brachytherapy:
- Intracavitary brachytherapy
- Interstitial brachytherapy
- Surface (Mold ) brachytherapy
Intracavitary brachytherapy:

Radioactive source are put into space near where the tumor is located.
Interstitial brachytherapy:
 
 
The radioactive sources are put directly into the tissues.
Surface(Mold) brachytherapy:
 
 
Applicator are placed over surface(Mold) .
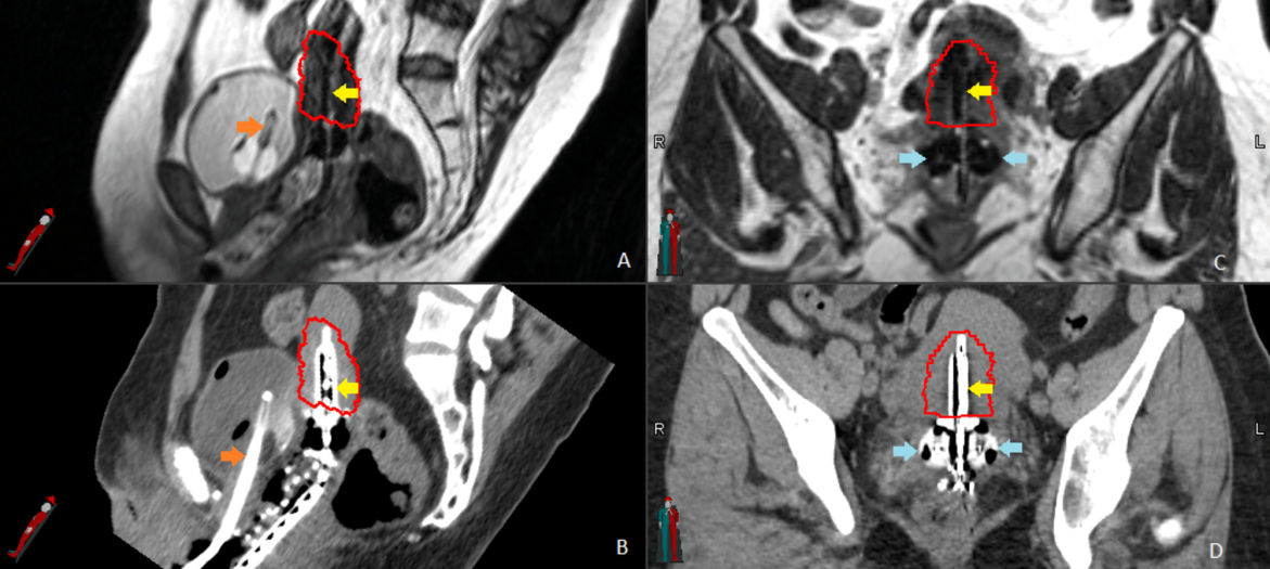
IMAGE GUIDED BRACHYTHERAPY(IGBT):
 
 
Image guided brachytherapy(IGBT) uses cross sectional image data to create 3D models.
IGBT is the use of advanced imaging technique to make brachytherapy more accurate and effective.

 
IGBT involves four phases:
- Placement of hollow catheters / carriers
- CT or MRI imaging
- Computer calculation of dose distribution called dosimetry
- Radiation treatment delivery
Advantages of IGBT:
- More accurate treatment distribution throughout the targeted area
- Reduced risk of injury to healthy tissues
- Ability to treat wide variety of lesions. Example 
 - Deep in the body
- Adjacent to blood vessels
- Too large for other treatment techniques
 
 
										